Table of Contents
ToggleIntroduction
Osteoarthritis (OA) is a common degenerative joint disease, especially the most common knee osteoarthritis, which is mainly driven by “degeneration”. The main manifestations include progressive degeneration, wear and tear, joint pain, swelling, and limited mobility of joint cartilage. At the same time, bone spurs (osteophyte formation) may grow at the edges of the joints, and subchondral bone remodeling may also occur. Aging, obesity, gender, and a history of joint injuries are all risk factors for osteoarthritis.
From basic pathological mechanism research to innovative drug screening and validation of new treatment plans, scientific breakthroughs and clinical progress in osteoarthritis always rely on “stable, accurate, and highly realistic disease models” as the core support. A high-quality osteoarthritis model is a key bridge connecting laboratory basic research with clinical translational applications, and is also a core carrier for solving current industry treatment bottlenecks and accelerating new drug development. Today, we will comprehensively introduce the core progress in the field of osteoarthritis treatment and model development, while sharing our team’s years of expertise in technology platforms and practical cases.
Market situation
Global market
Mature but with significant unmet needs. The current market is mainly dominated by traditional treatment options, including nonsteroidal anti-inflammatory drugs, intra-articular injections, and end-stage artificial joint replacement. The global market for nonsteroidal anti-inflammatory drugs is expected to reach approximately $16.4 billion in 2022, and is projected to steadily grow at a compound annual growth rate of 4.2% until 2030. These drugs can relieve pain, but long-term use carries gastrointestinal and cardiovascular risks, and cannot reverse the course of the disease. The market for M09 drugs with greater potential (including innovative drugs for osteoarthritis) is growing faster and is expected to reach $20.5 billion by 2027, reflecting an urgent need for truly effective therapies.
China has a huge patient base, with over 100 million people suffering from osteoarthritis and enormous market potential. With the dynamic adjustment of the 2025 National Essential Medicines List, more safe, effective, and suitable for long-term management of osteoarthritis drugs (such as long-acting intra-articular injections) will be included and sold with zero margin in primary healthcare institutions. This will greatly enhance the accessibility and standardization of grassroots medication, and promote the transformation of treatment models from “targeted treatment” to “long-term management”.
current treatment status
COX-2 selective inhibitor: Celecoxib | |||
Hyaluronic Acid | Sodium hyaluronate: has a sustained pain relieving effect and a certain protective effect on cartilage | Sodium hyaluronate: There is some controversy over its efficacy, and it may not be effective for everyone |
KCI•KMQ Bone/Joint/Muscle System Disease Pharmacodynamic Evaluation Platform
KCI•KMQ Bone/Joint/Muscle System Disease pharmacological evaluation has a comprehensive animal model system and has accumulated rich project experience, which can meet diverse research needs. At present, the company has established extensive long-term cooperation with many well-known pharmaceutical companies and research institutions at home and abroad, providing a solid foundation for the development of innovative drugs.
Introduction and Case Study of Osteoarthritis Model
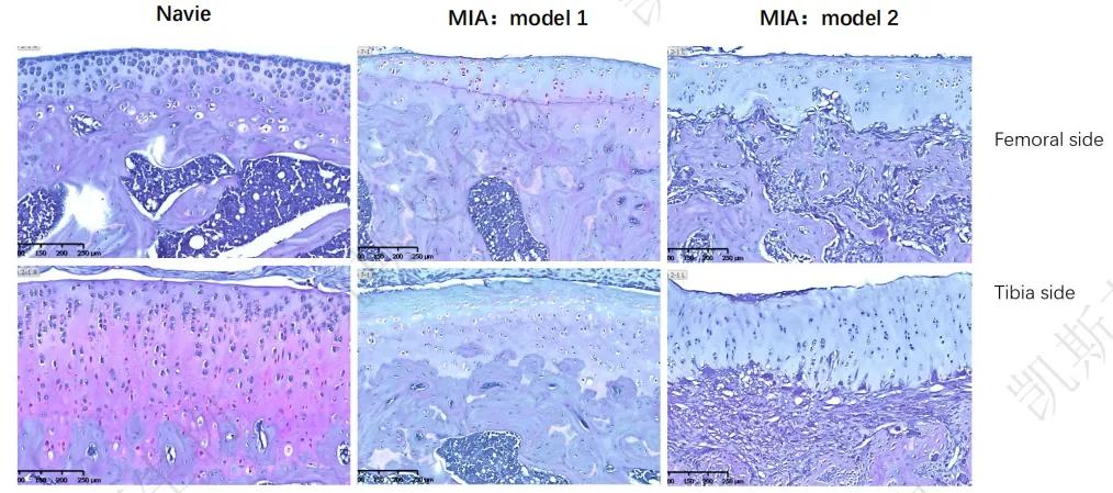
01 MIA induced osteoarthritis model in SD rats
Data display
Joint swelling, joint tenderness, pathology
02 MIA induced mouse osteoarthritis model
Data display
Joint swelling, joint tenderness, pathology
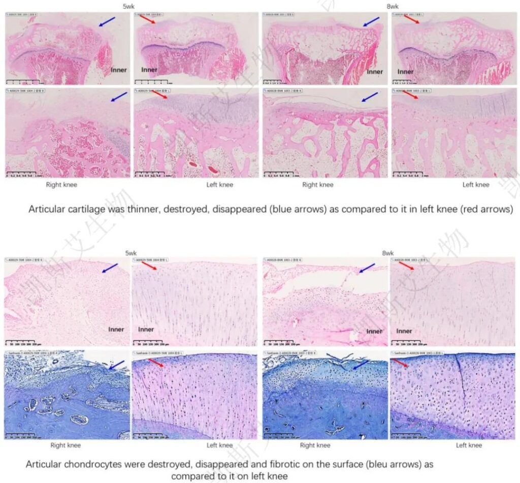
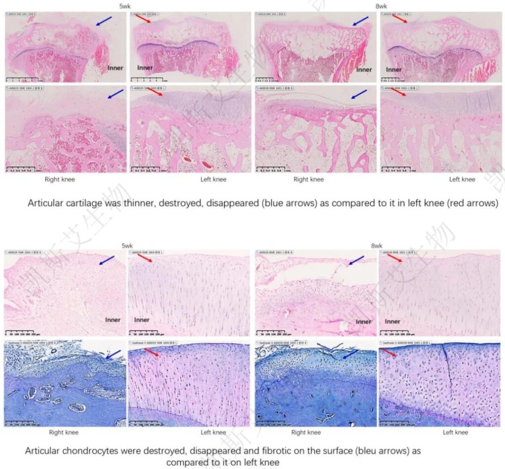
03 MIA induced rabbit knee arthritis model
Data display
CT、 Pathology – Right side modeling
04 Comparison of different surgical induced knee arthritis models in SD rats
Data display
Joint tenderness and pathology
MMT model
DMM model
ACLT+DMM model
ACLT model
05 ACLT+DMM induces Lewis rat knee arthritis model
Data display
Knee joint diameter, foot balance, pathology
06 ACLT+DMM induced rabbit knee arthritis model
Data display
Joint swelling CT、 pathology
Conclusion
The scientific exploration and clinical breakthroughs of osteoarthritis cannot be separated from high-quality disease models. From market demand to research needs, from technology platforms to model implementation, KCI•KMQ always focuses on polishing every model and providing excellent services, committed to becoming the most trusted partner in the field of osteoarthritis research.
In the future, we will continue to deeply cultivate the field of disease model research and development, continuously iterate and optimize technologies, expand innovative model categories, collaborate with more research colleagues and pharmaceutical partners, jointly overcome the treatment difficulties of osteoarthritis, promote more cutting-edge research results to clinical practice, bring more effective treatment plans to thousands of patients, and inject strong impetus into the innovative development of the biopharmaceutical industry.





















